• 1404/08/20
  • - تعداد بازدید: 51
  • زمان مطالعه : 1 دقیقه
مقاله منتشرشده 2025 در ژورنال Probiotics and Antimicrobial Proteins

Chlorella vulgaris and Lactobacillus casei Improve Liver Dysfunction via UPR and Autophagy in High-Fat Diet-Induced NAFLD in Mice

Abstract

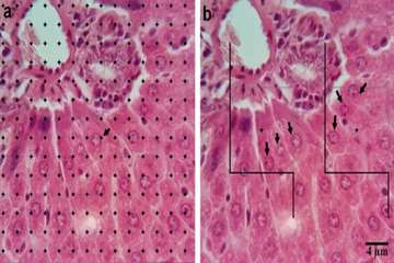
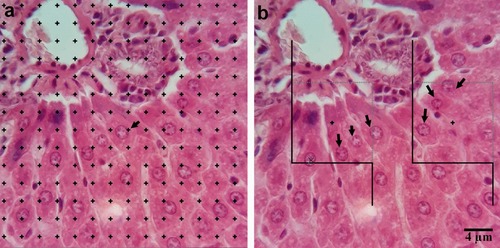
Non-alcoholic fatty liver disease (NAFLD) is a common liver disorder, ranging from simple steatosis to non-alcoholic steatohepatitis (NASH), with no approved pharmacological treatments. Autophagy and endoplasmic reticulum (ER) stress are key pathways in NAFLD pathogenesis. This study investigates the therapeutic potential of Chlorella vulgaris (CV) microalgae and Lactobacillus casei (LBC) probiotics on liver function in a high-fat diet (HFD)-induced NAFLD mouse model. Male C57BL/6 mice were divided into five groups: control, NAFLD (HFD for 8 weeks), NAFLD + CV, NAFLD + LBC, and NAFLD + CV + LBC. Liver enzymes, lipid profiles, oxidative stress markers, inflammatory cytokines, and gene expression related to UPR, autophagy, and apoptosis were measured, along with stereological and histopathological analyses. CV and LBC treatments significantly improved serum ALT, AST, cholesterol, LDL, triglycerides, MDA, LPS, TNF-α, IL-6, and CRP while modulating UPR (GRP78, IRE1α, PERK, ATF6), autophagy (Beclin1, P62, LC3-IIB), and apoptosis (Caspase-3BAX/Bcl-2 ratio) pathways. In treated groups, stereological analysis showed reduced liver weight, volume, and histopathological damage (p < 0.05). The combination of Chlorella vulgaris (CV) and Lactobacillus casei (LBC) enhanced liver function, reduced oxidative stress, and modulated the expression of UPR, autophagy, and apoptosis pathways at the mRNA level in NAFLD mice, leading to improved overall outcomes (p < 0.05). Chlorella vulgaris and Lactobacillus casei exhibit therapeutic potential for NAFLD, warranting further investigation for clinical applications.

برای مطالعه مقاله لطفا اینجا کلیک کنید.

  • گروه خبری : آخرین مقالات مرکز
  • کد خبری : 137763
کلیدواژه

تصاویر

نظرات

0 نظر برای این مطلب وجود دارد

نظر دهید